Embolisation de la prostate : comment se déroule l’intervention

Publié le 30 juin 2025 .

Interventions

Réalisée par un médecin radiologue interventionnel, l’embolisation de la prostate permet de réduire le volume de la prostate sans chirurgie, en réduisant la vascularisation de la prostate. Moins lourde qu’une technique ablative, elle offre une récupération rapide et préserve les fonctions sexuelles. Mais comment se déroule exactement cette intervention ? Quelles sont les étapes de préparation, les effets secondaires possibles et les résultats à attendre ?

embolisation prostate avec le Dr Laouisset | Val-de-Marne

Pourquoi réaliser une embolisation de la prostate ?

Avec l’âge, de nombreux hommes développent une augmentation de volume de la prostate, appelée hypertrophie bénigne de la prostate (HBP). Cette pathologie, différente du cancer de la prostate, est responsable de signes fonctionnels urinaires qui peuvent gêner le quotidien: besoin fréquent d’uriner, difficultés à vider complètement la vessie, jet urinaire faible…  Le traitement initial repose souvent sur une thérapie médicamenteuse. Quand celle-ci n‘est plus efficace, une technique innovante et peu invasive, l’embolisation de la prostate , peut être proposée aux patients.

L’embolisation prostatique, procédure issue de la radiologie interventionnelle , est une alternative aux traitements chirurgicaux ablatifs classiques comme la résection transurétrale de la prostate (RTUP) et l’énucléation par laser (Holep ou Thulep).

Elle peut être proposée à tout patient ne répondant plus au traitement médicamenteux.

Elle est particulièrement indiquée chez les patients présentant des contre-indications à la chirurgie ou souhaitant éviter les effets secondaires tels que l’éjaculation rétrograde ou l’incontinence.

L’embolisation est également très efficace pour les grosses prostates (> 80g), et d’autant plus facile à réaliser si le patient est jeune.

Préparation à l’intervention : les étapes clés

La préparation à l’ embolisation de la prostate débute par une consultation avec un radiologue interventionnel , qui évaluera l’indication de la procédure à partir des symptômes, de l’historique médical, et d’examens complémentaires.

L’interrogatoire recherchera des contre-indications (cancer, infection, allergie, insuffisance rénale), évaluera l’importance et le retentissement des symptômes urinaires sur la vie quotidienne ( Questionnaires d’évaluation des symptômes -IPSS- ), et la difficulté technique du geste (mauvais état artériel).

Examens complémentaires à réaliser :

  • Bilan sanguin (fonction rénale, hémostase, PSA) pour rechercher une insuffisance rénale, des troubles de la coagulation et un cancer de la prostate
  • Echographie vésico-postatique pour rechercher des signes de lutte vésicale et un résidu vésical post-mictionnel
  • IRM pelvienne pour évaluer le volume de la prostate et pour éliminer un cancer de la prostate
  • Débitmétrie urinaire pour mesurer le flux urinaire
  • Angioscanner des artères prostatiques, pour cartographier les artères prostatiques et évaluer la faisabilité technique du geste

Le patient reçoit également des informations sur les risques, les bénéfices et le déroulement de l’intervention.

L’embolisation peut se faire sous anesthésie locale. Mais pour plus de confort, une sédation est souvent proposée au patient, nécessitant dans ce cas une consultation d’anesthésie.

Les médicaments anticoagulants doivent être arrêtés avant l’intervention, car il existe une ponction artérielle. Ils sont en général repris juste après l’embolisation.

Déroulement de l’embolisation de la prostate

L’embolisation est réalisée dans une salle de radiologie interventionnelle, au bloc opératoire, sous anesthésie locale, avec ou sans sédation.

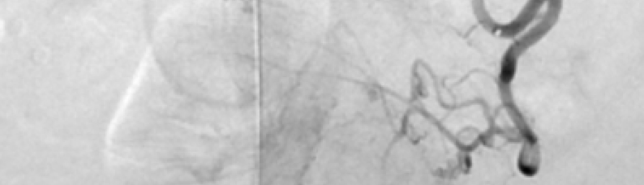
Le radiologue interventionnel commence par une ponction de l’artère fémorale (ou radiale, plus rarement) sous guidage échographique. Il insère ensuite un cathéter guidé dans les artères prostatiques à l’aide d’un système d’imagerie en temps réel (table de radiographie). Une fois les artères identifiées, les agents embolisants (petites particules ou colle) sont injectés pour boucher sélectivement les artères prostatiques.

Il n’y a pas de cicatrice, et l’intervention est entièrement réalisée sans scalpel.

L’intervention dure en moyenne 2 heures , et le patient reste en surveillance quelques heures. En l’absence de complication, une sortie le jour même ou le lendemain est possible.

Suites opératoires et récupération

Après l’intervention, les suites sont généralement simples. 

Elles sont souvent accompagnées de douleurs pelviennes modérées et d’une majoration transitoire des signes fonctionnels urinaires (pollakiurie, brûlures urinaires). Ces symptômes sont liés à l’inflammation de la prostate induite par l’ischémie; on parle de syndrome post-embolisation. Ils  régressent en une à deux semaines et sont minimisés par la prise d’anti-inflammatoires.

Un arrêt de travail de quelques jours est recommandé, en fonction de l’activité professionnelle. La reprise du sport peut se faire dès la disparition des symptômes.

Recommandations post-embolisation :

  • Surveiller sa température pour exclure une infection urinaire
  • Surveiller le point de ponction artériel et éviter toute activité physique intense pendant une semaine
  • Boire beaucoup d’eau pour accélérer l’élimination des débris prostatiques
  • Reprendre un traitement anticoagulant

Résultats et efficacité du traitement

Les premiers effets se font sentir dès 2 à 3 semaines après l’embolisation , avec une amélioration progressive des symptômes urinaires. Les bénéfices maximaux sont obtenus après 3 à 6 mois, avec une réduction significative du volume prostatique (souvent de 20 à 40 %).

Les études montrent une efficacité comparable à celle des techniques chirurgicales , avec une satisfaction élevée des patients. Les taux de complications sont faibles et la fonction sexuelle, en particulier l’éjaculation, est largement préservée.

En résumé

L’embolisation prostatique est une option thérapeutique moderne, sûre et efficace pour les hommes atteints d’HBP. Réalisée par un radiologue interventionnel , elle constitue une alternative crédible à la chirurgie ablative, notamment pour les patients souhaitant préserver leur qualité de vie.

Si vous présentez des troubles urinaires gênants malgré un traitement médical, parlez-en à votre urologue ou à votre radiologue interventionnel : ce traitement peut améliorer durablement votre quotidien.

Article rédigé par DR LAOUISSET

Le docteur Liess Laouisset est radiologue interventionnel depuis plus de 10 ans. Découvrez ses actualités