Cancer du sein

Le cancer du sein reste le premier cancer en termes de fréquence chez la femme avec 60 % des nouveaux cas survenant chez les femmes âgées de 50 à 74 ans¹.

Grâce aux stratégies de dépistage organisé, le pronostic de ce cancer a grandement évolué.

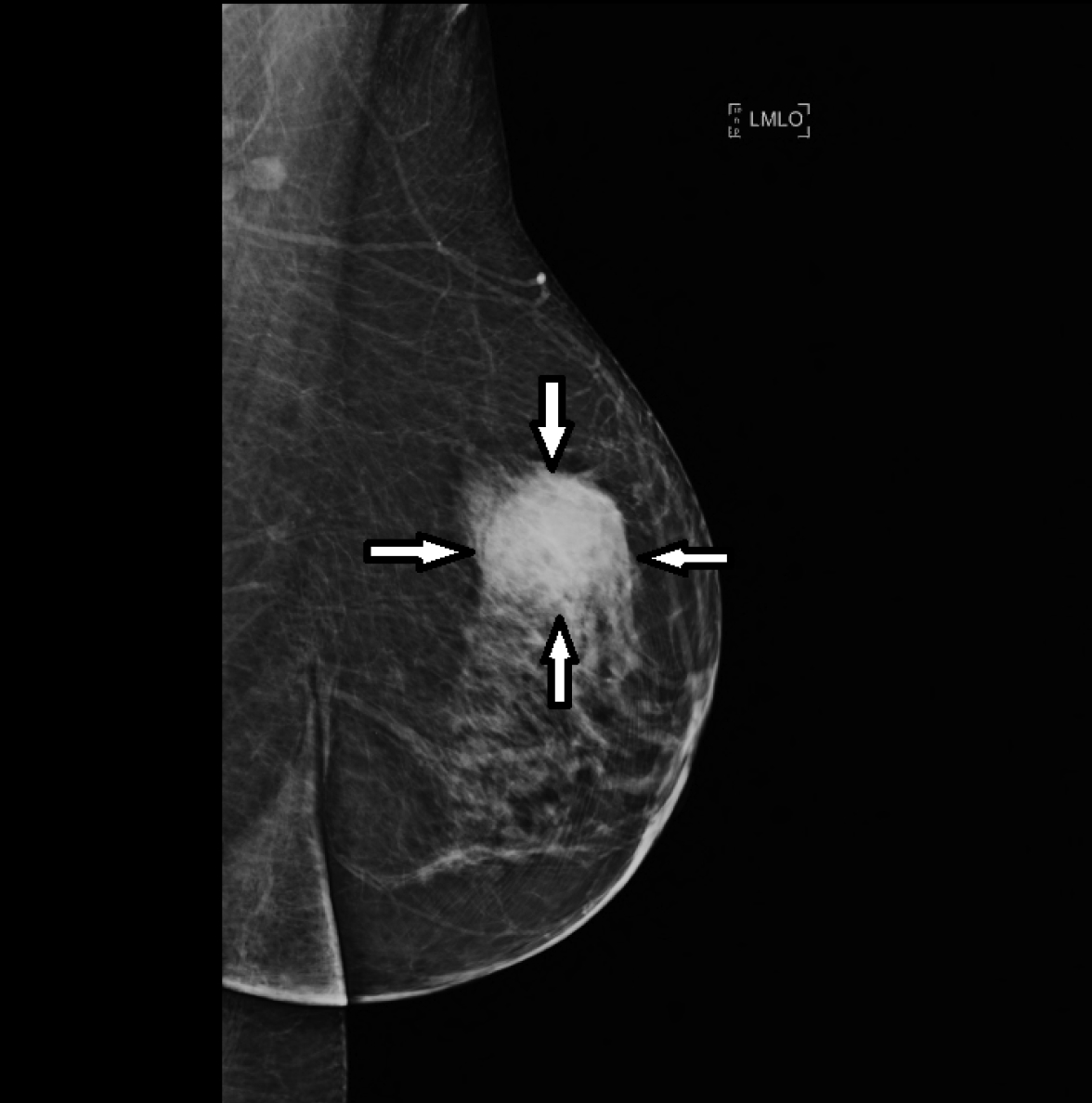
Si la mammographie est l’examen de référence pour l’exploration du sein, la biopsie mammaire est le seul examen en capacité de confirmer le diagnostic d’un cancer du sein et d’orienter la prise en charge.

Cancer du sein | Centre d'imagerie | Cancer du mamelon photos | Dr Laouisset | Val-de-Marne

Qu’est-ce que le cancer du sein?

Un cancer du sein survient suite à une multiplication anormale de cellules qui vont former une tumeur. Différents types de cancer du sein peuvent être retrouvés.

  • Lorsque les cellules cancéreuses se développent au niveau des canaux  qui transportent le lait de la glande au mamelon, il s’agit d’un carcinome canalaire. C’est le type de cancer du sein le plus fréquemment retrouvé.
  • Si le cancer se forme au niveau des lobules dont le rôle est la production de lait durant l’allaitement, on parle de carcinome lobulaire.

Le cancer du sein peut être localisé dans le sein (in situ) ou bien se propager et infiltrer des organes distants tels que le cerveau, le poumon, le foie…c’est la métastase.

Certains types de cancers du sein sont plus rares comme la maladie de Paget. Il s’agit d’un carcinome canalaire qui peut ressembler, d’un point de vue clinique, à un eczéma au niveau du mamelon ou de l’aréole.

Quels sont les symptômes du cancer du sein?

Le cancer du sein est le plus souvent asymptomatique. Cependant, la présence de certains symptômes et/ou modifications de l’aspect habituel des seins doivent alerter et motiver à consulter un spécialiste:

  • Une nouvelle différence de forme ou de taille entre les deux seins (asymétrie).
  • Une modification de l’aspect ou l’apparition d’une lésion sur l’aréole ou le mamelon.
  • Un écoulement mamelonnaire.
  • L’apparition d’une rougeur ou d’un gonflement du sein.
  • Des bosses indolores se formant sur la surface de la peau ou en relief sous celle-ci.
  • À la palpation: la détection d’une masse indolore au niveau du sein, d’une zone plus ferme que d’ordinaire, des ganglions axillaires ou un point douloureux spécifique.

Quels sont les facteurs de risques d’un cancer du sein?

Parmi les facteurs de risques du cancer du sein, il est possible de citer les antécédents personnels et/ou familiaux de cancer du sein, la présence de mutations génétiques BRCA ( BRCA1 ou BRCA2), un antécédent d’irradiation thoracique, les grossesses tardives, la nulliparité (absence de grossesse), ou la prise d’hormonothérapie substitutive.

Par ailleurs, le sexe féminin et l’âge supérieur à 50 ans constituent des facteurs de risques de cancer du sein. En effet, moins de 1% des cancers du sein, tous types confondus, sont retrouvés chez l’homme, et le risque relatif de développer un cancer du sein est 4 fois plus élevé chez les femmes âgées de plus de 50 ans par rapport à celles âgées de moins de 50 ans ².

Ces différents facteurs permettent de définir un niveau de risque faible, élevé ou très élevé de développer un cancer du sein. Une consultation d’oncogénétique permet d’évaluer le risque et ainsi la mise en place d’une stratégie de dépistage adaptée aux spécificités de chaque cas.

Comment faire le diagnostic du cancer du sein?

Examen de référence, la mammographie peut être réalisée dans le cadre d’un dépistage organisé ou bien suite à une anomalie retrouvée à l’examen clinique. La mammographie est un examen pratiqué et interprété par un radiologue. C’est la classification ACR (Classification BI-RADS de l’American College of Radiology) qui est utilisée pour l’interprétation des clichés de mammographie (ACR0 jusqu’à ACR 5).

Il est possible qu’une échographie mammaire puisse compléter une mammographie, et ceci généralement lorsque la patiente présente une densité mammaire élevée.

Devant la découverte d’une anomalie à la mammographie, une biopsie mammaire est indiquée.

Il existe deux types de biopsies mammaires et le choix de fait en fonction de l’anomalie retrouvée: la microbiopsie et la macrobiopsie. La biopsie mammaire est un geste de radiologie interventionnelle réalisé par un médecin radiologue. Elle peut être échoguidée, guidée par mammographie (on parle de guidage stéréotaxique) ou bien plus rarement guidée par IRM.

L’examen anatomopathologique des fragments prélevés va conditionner la conduite à tenir et prédire la réponse à certains traitements.

Quel est le traitement du cancer du sein?

L’objectif du traitement du cancer du sein est de pouvoir proposer une prise en charge personnalisée et adaptée à la situation de la patiente et au stade de sa maladie.

Veiller à maintenir une bonne qualité de vie et à minimiser les complications sont des points essentiels.

La stratégie thérapeutique fait appel à la chirurgie (conservatrice ou non conservatrice), la radiothérapie, la chimiothérapie, les thérapies ciblées et enfin l’hormonothérapie. Le cancer du sein métastatique repose sur un traitement médical.

L’éducation thérapeutique fait partie intégrante du traitement, tout comme le soutien psychologique.

Bibliographie

¹ Institut national du cancer. La situation du cancer en France en 2012. Boulogne-Billancourt: INCa; 2012. http://www.e-cancer.fr/publications/69-epidemiologie/629-la-situation-du-cancer-en-france-en-2012

² Haute Autorité de Santé. Dépistage du cancer du sein en France : identification des femmes à haut risque et modalités de dépistage. Volet 1. Recommandations de santé publique. Saint-Denis La Plaine: HAS; 2012. http://www.has-sante.fr/portail/upload/docs/application/pdf/2014-05/depistage_du_cancer_du_sein_chez_les_femmes_a_haut_ risque_volet_1_vf.pdf